Droogzetten is de voorbereiding op de droogstand. En een optimale droogstand is essentieel voor een succesvolle lactatie. Verkeerd droogzetten geeft problemen die voor een vervelende nasleep kunnen zorgen. Het blijft een secuur werk vanwege de mogelijke problemen met de uiergezondheid. Problemen met een hoog celgetal of uierontsteking in de eerste 50 lactatiedagen zijn voor ongeveer 70% te herleiden naar het droogzetten en de droogstand. Bij problemen in de eerste 100 lactatiedagen is dit nog steeds 50%. Met de juiste strategie bij het droogzetten kun je veel kosten en tijd besparen. En daarom noemen we het droogzetten het begin van de cyclus.

Droogzetten en droogstand, het begin van de cyclus
De strategie bij het droogzetten
Er zijn grofweg drie manieren om koeien droog te zetten. Of ze verantwoord zijn of juist voor problemen zorgen hangt sterk van de koe en de situatie op het bedrijf. Het komt er feitelijk op neer dat de gekozen droogzetstrategie moet passen bij het bedrijf. Droogzetten bestaat uit twee hoofdonderdelen: het aanpassen van de voeding en het stoppen met melken. Ze horen onlosmakelijk bij elkaar: als je een koe wilt droogzetten moet je de voeding aanpassen zodat je minder hoeft te melken. Zowel het droogzetten als het aanpassen van de voeding kunnen ineens of geleidelijk worden doorgevoerd. Maar wat is nu de beste strategie?
- Ineens stoppen met melken om te dwingen de productie te stoppen.
- Geleidelijk aan stoppen met melken om de productie geleidelijk aan te dwingen te stoppen.
- Aanpassen van de voeding om de productie geleidelijk aan te verlagen.
Welke droogzetstrategie past het beste bij jouw bedrijf? Lees daarvoor deze VERDIEPINGSPAGINA
Aandachtspunten en tips bij het droogzetten
- Zet koeien niet ineens droog bij een productie hoger dan 15 kg melk per dag. Het geeft meer kans op uierontsteking;
- Verminder de productie geleidelijk door het rantsoen te verschralen;
- Zet een koe nooit droog door geen water en/of voer meer te geven. De weerstand neemt dan sterk af;
- Melkbeurten overslaan in combinatie met een aangepast rantsoen helpt om de koe met minder stress droog te zetten;
- Bij een erg lage productie kun je beter iets eerder droogzetten, dat is goedkoper;
- Bij een productie van meer dan 20 kg per dag kun je beter iets later droog te zetten;
- Heeft een koe met een lage productie ook een slechte conditie (<3), stel het droogzetten dan even uit voor meer conditie.
- Het is beter om de conditie in de laatste 150 dagen te herstellen dan dat hij in de droogstand wordt verlaagd of verhoogd;
- Koeien die een tweeling verwachten mogen eerder droog omdat ze meestal voortijdig kalven;
- Neem een vaste dag voor het droogzetten. Het is doelmatiger en efficiënter;
- Ga altijd hygiënisch te werk bij het droogzetten. Gebruik schone handschoenen en ontsmet de speenpunt goed;
- Ga na of de (antibiotica)droogzetter past bij de mastitiskiemen op het bedrijf. Een verkeerde droogzetter kan zorgen voor een hoog celgetal of zelfs mastitis in het begin van de lactatie;
- gebruik de droogstandsevaluatie om na te kunnen gaan of het goed is gegaan.
De droogstand en de uiergezondheid
De droogstand is de periode waarin de uier tot rust kan komen en de koe kan herstellen van een eventuele uierontsteking en hoog celgetal. De droogstand is ook het moment om koeien met een te hoog celgetal te behandelen. Dit dient zorgvuldig te gebeuren: ongeveer de helft van het aantal mastitisgevallen komt uit de droogstand. De oorzaak ligt in het onvoldoende hygiënisch werken bij het droogzetten, onvoldoende herstel, verminderde weerstand door een te schrale conditie en een verkeerde voeding. Een belangrijke andere aanleiding is een hoge infectiedruk door te weinig hygiëne in de droogstand. Ook als er niets aan de hand lijkt te zijn, omdat je de signalen niet ziet, kan er toch al heel wat mis zijn.
Verloop van de werking van een droogzetter en de effectiviteit van een sealer gedurende de droogstand en de kans op infectie in de droogstand. De kans op infectie neemt met een droogzetter in eerste instantie sterk af maar neemt in verloop van tijd weer toe. Als de droogzetter is uitgewerkt breekt een kwetsbare periode aan. Een sealer blijft werkzaam over de gehele periode.

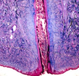
FHet dicht gaan van de spenen onder invloed van keratinevorming gedurende de droogstand bij twee verschillende producties op de dag voor droogzetten. Hoe lager de productie bij droog zetten hoe beter de tepelkanalen worden afgesloten (Bron: Dingwell et al. 2004).


Een groot deel van de koeien produceert van nature onvoldoende keratine om de spenen voldoende af te dichten. Bij het gebruik van een interne teat sealer voorkom je dat kiemen makkelijk de uier binnen dringen tijdens de droogstand. Een interne teat sealer dicht nooit voor 100% af en voorkomt niet dat de koe melk uit kan liggen. Houd na droogzetten de koeien eerst enkele dagen binnen, zodat je kunt zien of de uier goed opdroogt.

Selectief droogzetten met antibiotica
Het gebruik van antibioticumhoudende droogzetters levert een flinke bijdrage aan het totale antibioticumverbruik in de melkveehouderij. Wil je dat verminderen, ga dan na of een antibioticum wel nodig is, want selectief inzetten van antibiotica kan de Dier Dag Dosering (Dagdosering per Dierjaar) flink verlagen. De vraag is wanneer dat verantwoord zou kunnen. Of anders gezegd, kunnen de omstandigheden zodanig worden verbeterd dat antibiotica niet meer nodig zijn? Uit een onderzoek bleek dat zonder antibiotica vaker uierontsteking voor komt. Maar de toename in de DDD/J is uiteindelijk zeer klein. Daarnaast bleek dat bedrijven die de transitie goed op orde hadden, helemaal niet meer mastitisgevallen hadden en dat bedrijven die al jaren selectief te werk gaan, nauwelijks of geen problemen hebben. Maar daar wordt voor een goede uiergezondheid meer gedaan dan alleen goed droogzetten. Daar wordt in paragraaf 5.5 dieper op in gegaan.
Droogstand en de dagdosering per dierjaar (DDD/J)
De dagdosering per dierjaar is een berekende waarde. De dagdosering per dierjaar geeft aan hoeveel dagdoseringen antibioticum per gemiddeld aanwezig dier op jaarbasis worden toegediend. Dit getal is berekend over het totaal aantal kg op het bedrijf. Bij een DDD/J van 5 gebruik je omgerekend per gemiddeld aanwezige koe 5 dagen antibioticum per jaar. Vanaf 2019 wordt voor de melkveesector met één waarde gewerkt.
De benchmarkwaarde is aanvaardbaar onder 6 DDD/J. Boven deze waarde zijn directe maatregelen nodig en moet het antibioticumgebruik snel worden terug gebracht. In 2018, 2017 en 2016 lag het gemiddelde antibioticagebruik in Nederland op 2,1 DDD/J per melkveebedrijf. Hoe zorg je voor een succesvolle droogstand met een laag antibioticagebruik?
- Zorg voor voldoende weerstand (passend rantsoen en adequate mineralenvoorziening).
- Zorg voor maximale hygiëne: in de ligboxen, strohok, tijdens het melken, enz.
- Bij gebruik van antibiotica de bijsluiter lezen en er naar handelen.
- Gebruik een droogzetter die is afgestemd op de mastitiskiemen op je bedrijf.
- Dip de spenen na het droogzetten voor extra bescherming.
Terugdringen van het gebruik van antibiotica blijkt in de praktijk goed te lukken. Tussen 2008 en 2018 is het gebruik in de melkveehouderij met 47% afgenomen. Een van de strategieën is selectief droogzetten. Selectief met antibiotica droogzetten is goed mogelijk maar vraagt wel een brede aanpak: sturen op een lage productie bij droogzetten, maximale hygiëne, optimaliseren van de weerstand, laag houden van het celgetal en een goede genetische selectie op uierkwaliteiten en celgetal.

Aandachtspunten en tips
- Oudere en hoogproductieve koeien zijn vaak gevoeliger voor infecties;
- Koeien die in de laatste dagen van de droogstand melk uitliggen zijn besmettingsbronnen;
- De mineralenvoorziening heeft veel invloed op de keratinevorming;
- Het gebruik van een teat sealer is qua werking nagenoeg gelijk aan de natuurlijke keratine en blijft totdat de prop verwijderd wordt bij de eerste melkbeurt;
- De werking van een droogzetter neemt gaandeweg de droogstand af;
- Is het celgetal gedurende de droogstand gestegen of gedaald? Kijk naar de droogstandsevaluatie in het managementprogramma (zie MPR). Wanneer meer dan 10% met een laag celgetal de droogstand in gaat en er met een hoog celgetal uitkomt (laag in – hoog uit), moeten de droogzetstrategie en de hygiëne in de droogstand verbeterd worden;
- Houd zo mogelijk hoog celgetal dieren apart tijdens de droogstand;
- Gebruik geen antibioticumhoudende droogzetters bij koeien met een celgetal lager dan 50.000 en bij vaarzen lager dan 150.000 cellen per ml. Controleer grensgevallen bij de vaarzen nog eens extra met een vierkwartierenschaal;
- In de laatste weken van de droogstand wordt de voeropname minder, de hormoonhuishouding verandert drastisch, de opmaat voor de negatieve energiebalans en een sterke vermindering van de weerstand.
De lengte van de droogstand
Voor een goed herstel van de biologische functies is een droogstand van ca. 45 dagen voldoende. Als ideale lengte wordt onder de Nederlandse omstandigheden 50 tot 70 dagen aangehouden maar het varieert sterk. Uit praktijkonderzoek op Amerikaanse bedrijven is gebleken dat vaarzen in de 2e lactatie beter produceren bij een iets langere droogstand (60 dagen). Een (te) lange droogstand kan een te ruime conditie bij afkalven in de hand werken. Korter dan 6 weken of langer dan 8 weken verlaagt bij meerkalfs koeien de productie al snel met een paar procent. Waar exact het keerpunt ligt, is afhankelijk van de situatie op het individuele bedrijf en de mogelijkheden om tussentijds bij te sturen. Hoe langer de droogstand, hoe groter de kans op afvallen of vervetten. Onder normale omstandigheden is 6 weken voldoende. Omdat er zich toch vaak problemen voordoen rond de droogstand, met name als koeien eind lactatie teveel produceerden of een te ruime conditie hadden, kwam de vraag of en in hoeverre droogzetten noodzakelijk is.
Wel of niet droogzetten?
Al vele jaren is onderzoek gedaan naar de optimale lengte van de droogstandsperiode en of droogzetten wel nodig is. In de praktijk leidt de transitie van droogstand naar lactatie tot allerlei transitiegerelateerde gezondheidsproblemen. De vraag is of die voorkomen kunnen worden met korter droogzetten of helemaal niet droogzetten. Blijven de melkproductie en de gehalten wel op niveau? En wat zijn de gevolgen op de langere termijn voor de duurzaamheid van de koeien? Biologisch gezien behoort een koe een periode geen melk te geven, maar praktisch gezien zou het erg handig zijn als het niet hoeft. Er zijn melkveehouders die bepaalde koeien, waarvan ze weten dat ze problemen tijdens en direct na de droogstand krijgen, doormelken zonder droog te zetten. Dat doen ze een of twee keer waarna de koe weer normaal wordt droog gezet. Verlies aan productie is de belangrijkste reden om toch droog te zetten, naast het feit dat de koe onvoldoende kan herstellen van problemen in de lactatieperiode.
Wageningen Universiteit deed onderzoek naar de voor- en nadelen van korter of helemaal niet droogzetten (Why dry?). Het doel van het project was om na te gaan of verkorten van de droogstand (van 60 dagen naar 30 dagen of 0 dagen), bijdraagt aan een betere diergezondheid en het vereenvoudigen van het transitie-management. Omdat de droogstand een periode van herstel is voor de melkcellen, de uiergezondheid en de pens, is de vraag wat het korter of het niet droogzetten, op termijn voor gevolgen heeft. Het onderzoek heeft de volgende inzichten opgeleverd:
- Als koeien niet worden droog gezet produceren ze 1.292 kg minder meetmelk in 52 weken (12% van 10.700). Dit is inclusief de kilogrammen melk die de koe produceert tijdens de periode waarin ze anders droog zou staan.
- In de volgende lactatie bedraagt het verschil 1.842 kg meetmelk (17%).
- In de lactaties daarna bedraagt het verschil nog 930 kg meetmelk (9%).
- Bij korter droogzetten verschuift de productie naar de 2e helft van de lactatie.
- Het langer de droogstand, hoe dieper de negatieve energiebalans na afkalven.
- Hoe langer de droogstand hoe meer schadelijke Nefa’s in het bloed voorkomen.
- De penspapillen zijn het grootst bij 30 dagen droogstand en het kleinst bij geen droogstand.
Vragen die nog beantwoord moeten worden
- Wat is de invloed van de aangepaste voeding op de biestkwaliteit en de kalvergezondheid?
- Hoe zal de uiergezondheid zich ontwikkelen?
- Hoe ontwikkelt de vruchtbaarheid van de koeien zich ?
- Wat zijn de gevolgen op de langere termijn voor de duurzaamheid van de koeien?
- Hoe ontwikkelt zich de pensfunctie rondom het kalven en op termijn?
- Wat zijn de uiteindelijke economische gevolgen?
- Ligt de oplossing in selectief droogzetten of moet de lengte van de droogstand afhangen van leeftijd, lactatienummer of type koe? En hoe is dit praktisch inpasbaar?
In een vervolgonderzoek werd geconcludeerd dat korte of geen droogstandsperiodes de energiebalans tijdens de volledige lactatieperiode verbeteren. Met de voeding kan vervetting bij geen of een korte droogstandperiode worden beperkt. Maar uit het onderzoek kwam naar voren dat de persistentie daarmee niet werd verbeterd. De betere vruchtbaarheid en de gedragsveranderingen rond afkalven zouden wijzen op een betere aanpassing aan een nieuwe lactatieperiode in geval van niet droog zetten. Een aangepaste lengte van de droogstand kan de kans op een diepe negatieve energiebalans verminderen en daarmee ook de metabole status van koeien verbeteren. Terwijl tegelijkertijd de melkderving tot een minimum beperkt blijft.
Aandachtspunten en tips
- Goed ontwikkelde penspapillen op een vierkante centimeter penswand, hebben een totale actieve wandoppervlakte voor de opname van voedingstoffen van 45 cm;
- Aan het einde van de lactatie is de actieve oppervlakte een stuk minder en in de droogstand kunnen de penspapillen zich weer herstellen;
- Bij niet droog zetten zijn de penspapillen korter. Uiteraard hangt het af van het rantsoen hoe de pens ervoor staat;
- Tijdens de droogstand kan de pensflora actief worden gehouden door ook wat van het melkveerantsoen bij te voeren;
- Je kunt overwegen een koe niet of korter droog te zetten:
- Als de productie aan het einde van de lactatie (te) hoog blijft;
- Als je transitieproblemen verwacht, bijvoorbeeld vanwege de conditie;
- Als je transitieproblemen verwacht door een te hoge piekproductie;
- Bij een extreem groot uier, die door het opuieren bij kalven niet meer te melken is.
Schematisch verloop van de energiebalans bij 60 dagen, 30 dagen en 0 dagen droogstand. Hoe langer de droogstandsperiode, hoe dieper de negatieve energiebalans en hoe groter de kans op de daarbij behorende problemen. Bij een relatief korte of geen herstelperiode kunnen zich mogelijk op den duur weer andere problemen voordoen die we nu nog onvoldoende in beeld hebben (Bron: A. van Knegsel et al., 2012).

In de droogstand kunnen de melkcellen en de penswand zich herstellen. Voor een volledig herstel hebben ze minimaal 42 dagen nodig. Als dat niet mogelijk is zal de melkproductie na kalven vaak lager uitvallen.

De voeding en conditie tijdens de droogstand
In de droogstand voer je voor onderhoud en de dracht. De gedachte dat een te krappe of te ruime conditie gecorrigeerd moeten worden via de voeding is achterhaald. Sterker nog: het geeft meer kans op transitieproblemen. De kunst van het goed voeren is dat de conditie gedurende de droogstand gelijk blijft. Met het vorderen van de droogstand neemt de behoefte aan energie en eiwit weer wat toe vanwege de groei van het kalf terwijl de voeropname in de laatste weken juist daalt. Bij een te ruime conditie zelfs tot meer dan 30% en de daling zet ook eerder in. Een lage voeropname heeft tot gevolg dat de penscapaciteit afneemt, de energieopname afneemt en de koe geleidelijk in een negatieve energiebalans komt. Terwijl direct na het kalven de koe een grote hoeveelheid energie moet kunnen opnemen voor de snel stijgende productie. Omdat een koe, ten koste van zichzelf, voorrang geeft aan de melkproductie moet de energievoorziening optimaal zijn om problemen voor te blijven. In droogstand gaat het daarom om drie hoofdzaken:
- Beginnen met een juiste conditie;
- Behouden van de maximale penscapaciteit door een goede pensvulling en goed herkauwen;
- Zorg voor een continue goede pensvulling;
- Voorkomen van conditietoename of conditieverval.
Een droge koe moet voldoende van alles binnen krijgen, alles afgestemd op de dracht en conditie. Dus minder energie, lager RE-niveau, voldoende mineralen en veel structuur en alles voldoende voor het kalf en zonder dat de conditie toe- of afneemt. Een te sober rantsoen waar de essentiële componenten ontbreken kan leiden tot een te lage opname na kalven en te lange gewenningsperiode aan het nieuwe rantsoen en daarmee een te diepe negatieve energiebalans. Daarnaast heeft het ook invloed op het (on)geboren kalf en de biestkwaliteit.

Tabel 4.1.2. De gevolgen van conditieverlies voor de vruchtbaarheid en reproductie (Bron: Butles 2000; Garnsworthy en Webb 2002; Guthrie en West 2003).
| Conditieverlies | Laag | Midden | Hoog |
|---|---|---|---|
| Vermindering BCS punten | 0-0,7 | 0,7-0,12 | >1,2 |
| Interval kalven – 1e ovulatie | 27 dgn | 31 dgn | 42 dgn |
| Interval kalven – 1e tochtigheid | 48 dgn | 41 dgn | 61 dgn |
| Interval kalven – 1e inseminatie | 68 dgn | 69 dgn | 79 dgn |
| % dracht na 1e inseminatie | 65 % | 53 % | 17 % |
| Inseminaties per dracht | 1.8 | 2.3 | 2.3 |

Figuur 4.1.4. DS-opname in procenten van het lichaamsgewicht bij drie verschillende Body Condition Scores: schraal (BCS <3), gemiddeld (BCS 3 tot 4) en vet (BCS >4). Bij een te ruime conditie kan de voeropname sterk afnemen en zal de negatieve energiebalans (NEB) sterk toenemen. Bij een zeer ruime conditie kan verminderde voeropname al 3 weken voor afkalven inzetten. De negatieve energiebalans met de bijbehorende problemen met leververvetting en slepende melkziekte beginnen dan al ruim voor het afkalven. Bij een lagere BCS blijft de voeropname langer op niveau en wordt de NEB minder diep (Bron: Grummer, 2000).

Een te ruime conditie aan het eind van de lactatie veroorzaakt veel problemen. Om aan het einde van de droogstand in de juiste conditie voor afkalven te komen zou de koe een lagere score moeten hebben, maar afvallen in de droogstand is riskant omdat de voeropname te sterk kan terugvallen. Ze komen al ruimschoots voor afkalven in een negatieve energiebalans.
Aandachtspunten en tips
- Stuur aan op een conditie van 3,25 bij droogzetten. Koeien die te vet de droogstand in gaan bewegen minder, vreten minder, en gaan lichaamsreserves aanspreken. Daardoor krijgen ze een verzadigd gevoel, vreten te weinig en komen in een negatieve spiraal;
- Zorg voor voldoende beweging met een uitloop. Schadelijke stoffen zoals Nefa’s worden beter afgebroken en koeien starten beter op;
- Conditieverval leidt tot smaakverlies en een verdere daling van de voeropname, ook na kalven;
- Voorkom dat de conditie meer dan een halve punt wordt verlaagd of verhoogd. Grotere schommelingen hebben negatieve gevolgen voor de vruchtbaarheid;
- Koeien krijgen al last van zogenaamde metabole stress als ze beginnen met te ruime conditie;
- Bij een te ruime conditie is bijvoeren aan het eind van de droogstand soms nodig. Vanwege de versterkte afname van de voeropname en het begin van de negatieve energiebalans, krijgen deze koeien eerder problemen zoals ketose en leververvetting;
- Als de conditie bij afkalven nog steeds te ruim is wordt makkelijk afkalven lastig en zal de koe moeilijk opstarten. De negatieve energiebalans zal sterker worden, de Nefa-spiegel stijgt en daardoor de kans op embryonale sterfte. Het inseminatiegetal zal toenemen.

Figuur 4.1.5. Voorbeeld van het verloop van de voeropname voor- en na kalven en het gehalte van schadelijke Nefa’s in het bloed als indicator voor de afbraak van lichaamsvet als gevolg van een tekort aan energieopname (Burhaus e.a. 1999). Nefa’s zijn schadelijk voor de gezondheid en de vruchtbaarheid (embryonale sterfte, negatieve effecten op de levensduur) en moeten zoveel mogelijk worden voorkomen. Spieren kunnen nefa’s als energiebron gebruiken en beweging door ze een uitloop te geven helpt problemen te voorkomen.
Hoeveel groepen, hoeveel rantsoenen?
Inzichten rond de voeding in de droogstand willen wel eens veranderen. Vanwege het grote belang van een juiste voeding in de droogstand wordt daar ook veel onderzoek naar gedaan. Tegelijkertijd wordt gezocht naar een praktische invulling daarvan. Wat is het beste? De droge koeien de gehele droogstand in dezelfde groep met hetzelfde rantsoen houden of in twee groepen met twee rantsoenen: een voor de vroege droogstand (far-off) en een voor de late droogstand (close-up).
Het houden van twee groepen droogstaande koeien is bedoeld om de voeding beter op de behoefte af te kunnen stemmen. In het begin van de droogstand is de voeropname meestal nog goed en omdat de koeien geen melk meer produceren moeten ze schraal voer krijgen om vervetting te voorkomen. Met het vorderen van de droogstand neemt de voeropname af, met wel 30 tot 40% in de laatste weken, terwijl door de groei van het kalf de behoefte juist toeneemt. De koe komt dan al in een negatieve energiebalans en gaat lichaamsreserves aanspreken, en dat kan voor problemen zorgen. Een te schraal rantsoen kan die problemen erger maken.
In de laatste weken is het ook de bedoeling dat de penspapillen tot ontwikkeling komen zodat ze voldoende energie (propionzuur) uit het voer kunnen opnemen als de koe aan de melk komt. Ook de pensflora moet gewend raken aan het rantsoen na het kalven en dat kan met bijvoeren van componenten uit het lactatierantsoen. Het gaat niet zozeer om de hoeveelheid maar meer of het feit dát ze in het rantsoen zitten.
Aandachtspunten en tips
- Het rantsoen moet te allen tijde smakelijk zijn. Houd de pensvulling in de gaten;
- Geef elke dag vers en smakelijk voer. Voorkom broei, schimmelvorming en smaakbederf;
- Streef naar een pensvulling van minimaal 4;
- Zorg dat alle koeien aan het voerhek kunnen vreten. Voorkom overbezetting en let op de hoogdrachtige pinken;
- Voer in het begin van de droogstand niet meer dan 9.000 VEM per dag. Geef een rantsoen met 800-850 VEM en 12-14% ruw eiwit;
- Voldoende droge stof opname is belangrijke maar lastig om te bepalen. Streef naar minimaal 12 kg ds. Meer of minder droge stof is ook meer of minder VEM!;
- Bij een hogere eiwitgift of energiegift wordt vaak te veel biest geproduceerd van mindere kwaliteit. Ook de kans op melkziekte neemt toe;
- Koeien worden “lui” door ze veel maïs en andere zetmeelrijke producten te voeren. Ze keomen dna minder naar het voerhek;
- Er is ook meer kans op lebmaagdraaiing en een negatieve energiebalans (slepende melkziekte);
- Beperk de hoeveelheid bestendig zetmeel tot maximaal 20 gram per kilogram droge stof en het aandeel maïs tot maximaal 30%;
- Kort voor het kalven herkauwen droge koeien minder. Probeer het te stimuleren;
- Denk ook aan mineralenvoorziening van het kalf via de biest. Vanwege de lage krachtvoergift is op veel bedrijven de droogstand juist de meest kritische periode voor de voorziening van mineralen en spoorelementen;
- Stuur aan op een biestgift van 5 tot 8 liter in de eerste melkbeurt. Melk de koe altijd volledig uit;
- Ga voor een goede biestkwaliteit uit van >25 Brixwaarde.
- Evalueer het verloop van de droogstand ook aan de hand van de biestkwaliteit. Welke transitieproblemen doen zich voor (melkziekte, slepende melkziekte), aantal liters eerste melking, hoe was de brixwaarde;
- Schakel direct na kalven over op het melkkoeienrantsoen. Het nieuwe rantsoen zal als een luxe diner overkomen. Dit stimuleert de opname. Wees niet bang dat de overgang te groot is, in de pens zit nog traag droogstandsrantsoen.
Op een goed herstelde, niet beschadigde penswand zijn 30 papillen per cm2 aanwezig. De oppervlakte waardoor voedingsstoffen opgenomen kunnen worden, kan oplopen tot 45cm2/cm2 penswand. Een oppervlaktevergroting van ca. 45x die een goede opname van vetzuren en andere nutriënten kan garanderen.

Aandachtspunten en tips
- Kies voor een of twee droogstandsgroepen naargelang de bedrijfsomstandigheden. Kijk wat praktische is om aan de eisen te kunnen voldoen;
- Combineer het droogstandsrantsoen met het jongveerantsoen om niet verschillende rantsoenen te hoeven voeren. Voer bijvoorbeeld met de hand wat extra eiwit bij het jongveerantsoe;
- Let er op dat droogstandsmineralen niet voor het jongvee zijn! Het jongvee heeft juist calcium nodig;
- Beweging is belangrijker dan twee droogstandsgroepen. Beter meer beweging in één groep dan minder in twee;
- Voeren van krachtvoer is niet per se noodzakelijk, hooguit ter ondersteuning van de energievoorziening. Penspapillen kunnen zich na kalven snel aanpassen;
- Voordeel van één groep is dat de koeien niet overgezet hoeven te worden. Bij vaarzen voorkomt dat stress waardoor de droge stof opname daalt;
- Verander niets aan het rantsoen als alles goed loopt. Zijn er problemen kijk dan kritisch naar het rantsoen en pas het zo nodig aan;
- Kies niet zonder meer voor anionische zouten. Dit systeem vergt goede monitoring en op tijd aanpassingen, anders werkt het niet of werkt het tegen.
Als hoogdrachtige pinken bij de droge koeien staan, vraagt dat extra aandacht voor de hygiëne en de rantsoensamenstelling. Zeker als de conditie van de groepen teveel verschilt.

Het KAV
KAV staat voor het Kation-Anion-Verschil in het droogstandsrantsoen, soms ook wel Kation-Anion-Balans (KAB) genoemd. Het geeft aan wat het verschil is tussen de positief geladen en de negatief geladen ionen in het rantsoen. Positief geladen zijn bijvoorbeeld kalium, natrium en calcium. Negatief geladen zijn bijvoorbeeld chloor en zwavel. Waarom is dat van belang? Teveel positief geladen ionen in het bloed voorkomt dat de koe snel calcium kan vrijmaken uit de botten, waar ca. 97% van het calcium is opgeslagen. Dat kan betekenen dat de koe na kalven een acuut tekort krijgt vanwege de grote vraag naar calcium door de sterk stijgende biest- en melkproductie met als gevolg melkziekte (ook wel kalfziekte genoemd). Melkziekte is dus niet het gevolg van een tekort aan calcium in het lichaam van de koe, maar wordt veroorzaakt door het niet snel genoeg kunnen vrijmaken van het calcium uit de botten. Ook vitamine D speelt een rol bij het vrijmaken van calcium. Met voldoende vitamine D is het opnamevermogen voor calcium uit de darmen beter. Door in de droogstand het KAV laag te houden wordt de koe in de droogstand gestimuleerd zelf het calcium uit de botten vrij te maken. Koeien in de droogstand vragen een negatief KAV (-50 tot -100). Een KAV lager dan -200 geeft kans op verzuring van de koe. In paragraaf 4.5. wordt verder op melkziekte ingegaan.
Smakelijk en structuurrijk rietzwenkgras van niet bemest land voor de droge koeien. Rietzwenkgras heeft een goede opbrengst en kan goed worden gehooid. Er zijn meer grasmengsels op de markt die structuur, kruiden en smakelijkheid combineren.

Aandachtspunten en tips
- Zorg minimaal vanaf drie weken voor het kalven voor een juist KAV.
- Probeer dat zo veel mogelijk te doen op basis van de rantsoensamenstelling en niet door verzurende KAV-mineralen toe te voegen. Die verminderen de
smakelijkheid en de voeropname en kosten extra geld. - Pas op met anionische zouten en geef ze niet langer dan 2 weken.
- Laat de kuilen analyseren op mineralen en spoorelementen om te beoordelen of met het rantsoen kan worden voldaan aan de eisen. Vooral droogstandsrantsoenen met veel gras, die veel kalium bevatten, zijn funest. Op sommige grondsoorten komt ook veel kalium of calcium in het gras.
- Reserveer een stuk grasland dat niet wordt bemest met dierlijke mest voor de eerste snede met kali-arm en structuurrijk gras.
- Voer geen restvoer van de melkkoeien aan de droge koeien. Het is niet duidelijk welke voederwaarde het rantsoen nog heeft en de smakelijkheid van het voer is vaak veel minder.
- Laat de keuze voor één of twee droogstandsgroepen mede afhangen van de mogelijkheden die u hebt met het oog op de ruwvoervoorziening en de ruwvoersamenstelling. Raadpleeg de kuilanalyses.
- Verdun het rantsoen bij voorkeur met K lage producten zoals stro. De manier waarin dit wordt aangeboden (gesneden, gehakseld, gehamerd of gemalen) bepaald mede de opname ervan.
- Let op waaruit het restvoer van de droge koeien uit bestaat. Bij veel grove lange (stro) delen is het werkelijk opgenomen rantsoen dus rijker dan de rantsoenberekening. Zorg er dan voor dat het rantsoen nog meer stro bevat en accepteer wat meer restvoer.
Van ruwe celstof naar energie
Wanneer aan het eind van de lactatie en/of in het begin van de droogstand veel ruwe celstofrijk voer wordt gevoerd, dan ontwikkelt zich in de pens een
flora van celwandafbrekende bacteriën. Onder invloed van het rantsoen van de melkgevende koeien en een grotere hoeveelheid krachtvoer verandert de pensflora. De flora verschuift naar bacteriën die zetmeel en suikers kunnen verwerken. Er worden meer vluchtige vetzuren geproduceerd, waaronder propionzuur en melkzuur en de penspapillen groeien verder uit. Goed ontwikkelde penspapillen gaan pensverzuring aan het begin van de lactatie tegen, omdat zij de zuren goed opnemen. Een geleidelijke verhoging van het energie- en krachtvoerniveau geeft de beste ontwikkeling van de penspapillen. Het duurt 4 tot 6 weken voordat de penspapillen de maximale lengte hebben bereikt zodat de energieopname maximaal is. Om de overgang geleidelijk te laten verlopen is het van belang dat de hoofdcomponenten die gevoerd worden in het melkveerantsoen ook in het droogstandsrantsoen gevoerd worden (zetmeel en celwanden). De pensflora blijft actief en de penspapillen zijn dan goed ontwikkeld als de koe de productietop nadert. Worden de koeien in één groep gehouden, dan komt het aan op de juiste balans tussen het beheersen van de conditie, het stimuleren van de penswerking en de gewenning aan energierijke componenten voor een maximale energie-opname na kalven.

Figuur 4.1.6. DS-opname in % van het lichaamsgewicht bij hoogdrachtige pinken en melkkoeien vanaf 25 dagen voor kalven. In verhouding tot het lichaamsgewicht nemen hoogdrachtige pinken minder op terwijl ze meer nodig hebben. Ze hebben daarom een goede kwaliteit voer en een goed bereikbare voerplaats nodig (Bron: Grummer 2000).
Drachtige pinken hebben het vaak erg moelijk
De hoogdrachtige pinken hebben geen droogstandsperiode. Toch gaat het allemaal niet vanzelf. Ook daar is een goede voorbereiding essentieel. De dieren mogen niet te vet worden. Als ze op stal staan, hebben zij daartoe wel de neiging. Zeker als de dieren hoog energetisch voer krijgen of aan het begin van de opfok te weinig eiwit hebben gekregen. Toch moeten ook zij voldoende energie en eiwit krijgen in de laatste weken voor het kalven. Per kg lichaamsgewicht vreten ze in de droogstand minder dan koeien terwijl ze juist voor de groei in verhouding meer nodig hebben.
Pinken hebben bij de eerste keer kalven veel meer te lijden dan koeien die al meerdere keren hebben gekalfd. Bovendien moeten ze de overgang maken naar biologische processen die bij een melkgevende koe horen. Dat is een hele opgaaf als er ook veel van de vaarzen wordt verlangd qua productie, de omgang met andere koeien en de nieuwe omgeving waarin ze terecht komen. Het is niet voor niets dat op bedrijven met een hoog vervangingspercentage veel vaarzen moeten worden afgevoerd. Dat kan oplopen tot wel 25% van de vaarzen. Het is een kostbare investering die verloren gaat. Alle reden om er extra aandacht aan te besteden.
Bij pinken die te weinig ontwikkeld zijn en/of een te ruime conditie hebben komen meer doodgeboortes voor. Ook de mineralenvoorziening blijkt erg belangrijk te zijn om doodgeboorte te voorkomen. De combinatie van voeding en huisvesting kan veel problemen tijdens en na afkalven voorkomen en daarmee de uitval onder de vaarzen verminderen die in praktijk varieert van 1% tot wel 24%. Er liggen dus mogelijkheden voor verbetering.

Aandachtspunten en tips
- Voorkom een te ruime conditie bij de pinken. Met voldoende eiwit in de periode tot insemineren en een schraler rantsoen na insemineren (zie hoofdstuk 3) zijn ze minder geneigd te vervetten;
- Zorg dat hoogdrachtige pinken altijd aan het voerhek kunnen komen en stimuleer de voeropname met vers en smakelijk voer, met name in de laatste weken;
- Vanaf 6 tot 8 weken voor het kalven mogen ze hetzelfde rantsoen krijgen als de droge koeien, mits ze voldoende op kunnen nemen;
- Als het mogelijk is om hoogdrachtige pinken apart van droge koeien te huisvesten, kan iets meer eiwit bijgevoerd worden. Dit hebben de pinken nog nodig voor de ontwikkeling. Pinken hebben in deze periode nog 14% ruw eiwit nodig;
- Haal drachtige pinken die in de wei staan zes tot acht weken voor het kalven naar huis en geef ze hetzelfde rantsoen als de drachtige koeien. Het is beter om ze goed voor te bereiden op het kalven dan dat ze wat langer in de wei blijven. Eerder naar binnen halen zorgt ook voor meer specifieke antistoffen in de biest;
- Zorg voor een adequate mineralenvoorziening bij het jongvee. Zo kunnen ze beter opstarten met minder kans op doodgeboorten en uierontsteking (vaarzenmastitis).
Zaken als voeding, mineralen, stalklimaat, stress etc. hebben invloed op de ontwikkeling van het ongeboren kalf. Sommige invloeden kunnen nog generaties lang na-ijlen. Dus zorg voor optimale omstandigheden.

De omstandigheden kunnen een blijvende invloed hebben op het kalf. Soms is de invloed nog generaties lang merkbaar zoals bij hittestress in de droogstand. Ook de voeding en de mineralenvoorziening kunnen een langdurige invloed hebben dus zorg voor een optimale droogstand. Het is niet alleen het begin van een nieuwe lactatie maar ook van een nieuw leven. In bovenstaande figuur is aangegeven op welke momenten die invloed zich kan laten gelden.
Droogstand en klauwgezondheid
Een belangrijk deel van de klauwproblemen komen voort uit de transitieperiode. Dit komt door energietekorten en slepende melkziekte, structuurtekort, pensverzuring en mineralentekort. De problemen slepen zich vaak voort tot ver in de lactatie. Tegen die tijd zijn er ook andere problemen bijgekomen zoals infecties en beschadigingen. De droogstand biedt goede kansen om de zaak weer gezond te krijgen. Klauwproblemen kunnen worden behandeld en de klauwen krijgen rust om te herstellen. Dat herstel gebeurt met name door het ontbreken van de melkproductie en het “rustige”, structuurrijke rantsoen met relatief weinig gemakkelijk verteerbare koolhydraten. Er ontwikkelt zich een andere pensflora waardoor minder vluchtige vetzuren worden opgenomen. Dat kan tegelijkertijd een probleem veroorzaken na kalven als de koe zich te weinig heeft kunnen instellen op een energierijk glucogeen rantsoen. Dat vergroot de kans op pensverzuring omdat vluchtige vetzuren minder snel opgenomen kunnen worden. De pensflora wordt hierdoor beschadigd en pensbacteriën sterven. Dat heeft een negatieve invloed op de haarvaten in de klauwen, waardoor klauwproblemen kunnen ontstaan. Daarom ontstaat bij een snelle rantsoenwisseling klauwbevangenheid. Daarnaast verslappen de pezen rondom kalven waardoor de klauw een andere drukverdeling krijgt. Als ze geen goede klauwstand hebben voor het droog zetten, neemt de kans op problemen toe. Koeien moeten in de droogstand al worden voorbereid zodat de overgang geleidelijk verloopt en penspapillen voldoende vluchtige vetzuren op kunnen nemen. Uit onderzoek blijkt dat ook het ligcomfort of het gebrek hieraan bepalend is voor de klauwgezondheid in de lactatie. Besteed aandacht aan de huisvesting van de droogstaande dieren. Al met al is ook voor de klauwgezondheid, de droogstand de allesbepalende start. Met strategisch bekappen: bij droogzetten en na ca. 100 dagen in lactatie kun je problemen voorblijven.
Aandachtspunten en tips
- Voorkom een te ruime conditie bij de pinken. Zorg daarom voor voldoende eiwit in de opfokperiode om de ontwikkeling te stimuleren en een schraler rantsoen na insemineren (zie hoofdstuk 3). Ze zijn dan minder geneigd te vervetten;
- Hoogdrachtige pinken moeten voldoende voer op kunnen nemen. Zorg dat ze altijd aan het voerhek kunnen komen en stimuleer de voeropname met vers en smakelijk voer, met name in de laatste weken;
- Vanaf 6 tot 8 weken voor het kalven mogen ze hetzelfde rantsoen krijgen als de droge koeien, mits ze voldoende op kunnen nemen;
- Als het mogelijk is om hoogdrachtige pinken apart van droge koeien te huisvesten, kan iets meer eiwit bijgevoerd worden. Dit hebben de pinken nog nodig voor de ontwikkeling. Pinken hebben in deze periode nog 14% ruw eiwit nodig;
- Haal drachtige pinken die in de wei staan zes tot acht weken voor het kalven naar huis en geef ze hetzelfde rantsoen als de drachtige koeien. Het is beter om ze goed voor te bereiden op het kalven dan dat ze wat langer in de wei blijven. Eerder naar binnen halen zorgt ook voor meer specifieke antistoffen in de biest.
Het moment van droog zetten is bij uitstek het moment om de klauwen na te kijken en eventueel te behandelen. De droogstand is een periode voor mogelijk herstel.

Aandachtspunten en tips
- Bekijk de klauwen altijd bij het droogzetten en behandel ze zo nodig;
- Zorg voor voldoende structuurrijk voer in de droogstand;
- Zorg voor voldoende ligcomfort in de droogstand. Als koeien onvoldoende liggen worden de klauwen te veel belast en kunnen klauwproblemen ontstaan;
- Zorg ook bij de droge koeien voor schone roosters;
- Zorg voor een goede overgang naar het melkveerantsoen. Voorkom te snelle en te grote overgangen. Bouw de krachtvoergift rustig op.
Door een juiste inrichting en maatvoering krijgen de koeien meer bewegingsruimte en kunnen ze allemaal aan het voerhek komen. Laat de koeien zoveel mogelijk omlopen om de boxen te kunnen bereiken. Elke bijdrage aan meer beweging draagt bij aan het voorkomen door problemen tijdens en na afkalven.

Huisvesting van de droge koeien
Het belang van een comfortabele en hygiënische huisvesting voor de droge koeien wordt in de praktijk vaak onderschat. Het feit dat de droogstaande koeien niet productief zijn, betekent niet dat de huisvesting niet zo nauw komt. Vaak komen koeien met een te hoog celgetal uit de droogstand of de klauwen zijn onvoldoende hersteld omdat ze te weinig comfortabel kunnen liggen en dus teveel staan, de conditie is te ruim omdat het rantsoen niet is afgestemd op de droogstand en omdat ze te weinig beweging krijgen. Op veel bedrijven hebben de koeien geen uitloop naar buiten, en ook geen groot strohok als alternatief. Gelukkig wordt dat wel minder. Voor de voorbereiding op het kalven en de volgende lactatie zijn deze zaken in de droogstand juist erg belangrijk.

Een uitloop naar buiten heeft veel voordelen. Het zorgt voor een vlot verlopende geboorte en een goede conditiebeheersing. Het draagt ook bij aan de vruchtbaarheid en indirect aan de levensduur. Het kan heel eenvoudig en hoeft geen mooi grasland te zijn. Zand kan al voldoende zijn. Bij aanleg kan drainage of een overkapping helpen de uitloop droog te houden.

Hygiëne, rust, ruimte en comfort zijn, naast een goed droogstandsrantsoen, de belangrijke elementen voor een probleemloze droogstand en een probleemloze start van de volgende lactatie. Daarvoor zijn meerdere mogelijkheden, vaak binnen de bestaande situatie te creëren. Koeien die een optimale droogstand hebben gehad worden op voorsprong gezet ten opzichte van koeien die dat niet hebben gehad.
Aandachtspunten en tips
- Geef de droge koeien altijd een uitloop naar buiten. Plaats zo mogelijk de drinkbak in de buitenuitloop om de koeien naar buiten te lokken;
- Beweging van droge koeien is in veel gevallen net zo belangrijk als het rantsoen. Dat bevordert de stofwisseling en de afbraak van schadelijke stoffen die vrijkomen door de afbraak van lichaamsvetten (Nefa’s);
- Beweging maakt de koeien soepeler in de spieren en in het kruis wat voor makkelijker kalven zorgt. De koeien blijken dan ook actiever te zijn in de lactatie;
- Een koe met voldoende beweging heeft een betere stofwisseling en is in de droogstand makkelijker probleemloos te voeren. Bovendien is het conditieverval rondom kalven minder groot en de kans op gezondheidsproblemen veel kleiner;
- Voor een uitloop kun je gebruik maken van wildroosters als de koeien over het erf moeten. Zo voorkom je dat er draden gespannen moeten worden die steeds open en dicht moeten;
- Drachtige koeien zijn breder dan koeien in lactatie en hebben meer ruimte nodig voor voldoende comfort. De boxbreedte van hoogdrachtige koeien moet 135 cm bedragen. Die 15 cm ruimte vraagt op een koppel van 120 koeien slechts 200 cm extra. De kosten verdien je ruimschoots terug;
- Hoogproductieve droogstaande koeien vragen 85 cm voerhek. Zorg ervoor dat elke koe een vreetplaats heeft. Ze moeten tegelijkertijd kunnen vreten;
- Voorkom te allen tijde overbezetting. Maak de ruimte niet te krap, zeker niet bij een enkele rij;
- Als je bouwt of verbouwt en je hebt een enkele rij ligboxen, zorg er dan voor dat de koeien niet rechtstreeks vanaf het voerhek de box in kunnen maar om moeten lopen;
- Geef droge koeien geen extra verlichting. Biologisch gezien leven ze in de winter dus in een donkere periode met korte dagen;
- Zorg voor voldoende verse lucht. Hoewel de koeien minder warmte produceren vanwege de langzamere vertering, zetten ze nog aardig wat voer om. Voldoende luchtverversing blijft daarom belangrijk al is het maar om hittestress te voorkomen;
- Hoewel ze minder snel last van hittestress hebben dan melkgevende koeien, kan het zeker nadelige effecten hebben voor de voeropname en de draagtijd.

Uit onderzoek is gebleken dat koeien buiten met name graag droog en koel liggen. Ze hebben de voorkeur om ’s nachts naar buiten te gaan en als ze kunnen kiezen, dan kiezen ze voor de wei. Maar als het nat en koud is dan liggen ze liever op een uitloop met zand. Hebben ze alleen een uitloop met zand, dan maken ze daar onder alle omstandigheden graag gebruik van. Bij beperkte ruimte rond de stal kan dus een uitloop naar buiten worden gemaakt op een beperkte oppervlakte. Het kan heel eenvoudig en hoeft dus geen mooi grasland te zijn. Beter van niet juist omdat het dan lastiger is de voeding nauwkeurig te sturen. Bij aanleg kan drainage of een overkapping helpen de uitloop droog te houden.
Management voor een succesvolle droogstand
In paragraaf 1.3 zijn de basisprincipes van het management en de PDCA-aanpak besproken. In dit hoofdstuk gaan we meer concreet in op het management voor een goede droogstand. Dat is er vooral op gericht de resultaten goed te evalueren en het vervolgens waar nodig aan te passen.
Stap 1: Doelen stellen (Plan)
De eerste stap is het stellen van een doel. Het doel van de droogstand is dat een koe geheel hersteld, in een juiste conditie en met een laag celgetal uit de droogstand komt zodat ze makkelijk afkalft en opstart. Het gaat dan vaak om meerdere aandachtspunten zoals de voeding, de hygiëne en het conditieverloop en dus ook meerdere soorten maatregelen. Er zijn dus ook meerdere kengetallen die een beeld geven van het verloop en de kwaliteit van de droogstand. Ter illustratie is, volgens de blauwdruk uit paragraaf 1.4, in tabel 4.1.3. een voorbeeld gegeven van het hoofddoel en de bijbehorende kengetallen en controlepunten. Voor de optimalisatie van de droogstand is een termijn van een jaar realistisch en daarom zijn de streefwaarden na een jaar weergegeven. Raadpleeg de aandachtspunten bij de managementcyclus in paragraaf 1.4 nog eens.
Aandachtspunten en tips bij de doelen
- Het hoofddoel van de droogstand kan vaak alleen worden bereikt als daar vanuit verschillende kanten aan wordt gewerkt. Ga daarom eerst goed na wat de tekortkomingen zijn voordat je een werkplan opstelt.
- Voor een analyse van de problemen en het opstellen van de (sub)doelen is het handig om eerst de kengetallen in de bestaande situatie in beeld te hebben. Dat helpt ook bij het opstellen van de verbeterplannen.
- Blijf goed voor ogen houden dat de droogstand een van de belangrijkste perioden is in de cyclus van een koe. Droge koeien produceren weliswaar geen melk maar in de droogstand wordt wel de basis gelegd voor een goede productie.
Aandachtspunten en tips bij de maatregelen
- Realiseer je dat een goede droogstand meerdere maatregelen vraagt zoals bij de voeding, de hygiëne en de conditiebeheersing.
- Maak het complete droogstandsmanagement je goed eigen zodat het een vanzelfsprekend onderdeel wordt van de dagelijkse werkzaamheden en het per saldo uiteindelijk geen extra tijd meer vraagt.
- Bedenkt dat sommige problemen voort kunnen komen uit de opfok zoals een niet optimale ontwikkeling voor insemineren. Met voldoende eiwit in de opfokperiode om de ontwikkeling te stimuleren en een schraler rantsoen rond insemineren zijn de pinken ook later als koe minder geneigd te vervetten (zie hoofdstuk 3).
Stap 2: Maatregelen bedenken en uitvoeren (Do)
De volgende stap is maatregelen bedenken en uitvoeren. In tabel 4.1.3 is een aantal maatregelen opgenomen met daarbij een aantal controle punten. Kijk altijd goed naar de oorzaak van de problemen volgens het KBL-principe zodat geen onnodige of verkeerde maatregelen worden genomen of juist maatregelen over het hoofd worden gezien. Afhankelijk van de situatie zijn meer maatregelen nodig. Als je de gewenste maatregelen structureert in een werkplan, dan blijft het overzichtelijk. Probeer de maatregelen in elk geval zoveel mogelijk in te passen in de bestaande werkroutines zodat de extra tijd beperkt blijft. Werk zonodig met protocollen (als er meerdere personen het werk doen) zoals een droogzetprotocol: wat moet er gedaan worden, hoe moet het gedaan worden en in welke volgorde. Uniformiteit in de werkwijze is zeer belangrijk. Het gebruik van (antibioticumhoudende) droogzetters moet gepaard gaan met voldoende hygiënemaatregelen en voorkomen van stress om de weerstand voldoende hoog te houden.
Stap 3: Controle van de voortgang (Check)
Omdat het in de droogstand gaat om een relatief kort traject vallen voor sommige doelen de controle op de voortgang en het meten van het eindresultaat samen. Maar soms duurt het een tijdje voordat in de lactatie duidelijk wordt of het in de droogstand goed is gegaan. Zoals bijvoorbeeld het conditieverloop tijdens en na de droogstand, het kalfgemak, het opstarten van de koe, het voorkomen van kalfziekte en slepende melkziekte. En natuurlijk het celgetal bij de eerstvolgende melkcontrole. Vergelijk de kengetallen en de maatregelen met de voorgenomen doelen en maatregelen. Kijk ook of de doelen realistisch zijn gebleken en of de maatregelen ook echt passen.
Aandachtspunten en tips bij de controle
- Omdat de droogstand relatief kort is en de koeien doorgaans wat minder intensief gevolgd worden kan het ongemerkt de verkeerde kan op gaan. Corrigeren is dan lastig dus maak een schema dat je consequent volgt.
- Het resultaat van de droogstand is soms pas te zien na afkalven. De evaluatie loopt dus nog een tijd door in de lactatie. In tabel 4.1.3 zijn enkele controlepunten daarvoor opgenomen.
- Werk ook na afkalven met een vast controleschema voor de verse koeien.
Stap 4: Controle van de voortgang (Act)
De laatste stap is het eventueel bijstellen van de doelen of van de maatregelen (aanpassen) of doorgaan op de ingeslagen weg als het doel nog niet is bereikt of de zaak vasthouden als het doel is bereikt (consolideren). Bij dit laatste is het van belang dat de aanpak een vast onderdeel is geworden van de dagelijkse routine zonder dat de aandacht verslapt. Het moet een vanzelfsprekend iets worden dat niet aan de kant wordt geschoven vanwege (zogenaamd) tijdgebrek. Meestal is het prioriteiten stellen en dan heeft een goede droogstand een hoge prioriteit.
Aandachtspunten en tips bij de voortgang
- Omdat de droogstand zo belangrijk is, mag je eigenlijk nooit toegeven op de kwaliteit. Dus blijf er aan werken tot het helemaal goed is.
- Blijf na het bereiken van de doelen aandacht houden voor de juiste signalen vanuit de droogstand en de transitieperiode tot 100 dagen. Bedenk dat 50% tot 70% van de problemen een relatie heeft met de droogstand.
- Stel een transitieprotocol op, eventueel in overleg met d dierenarts, voor een permanente en routinematige controle op de droogstand.
Tabel 4.1.3. Voorbeeld van doelen voor de droogstand. De kengetallen na 1 jaar geven de situatie aan die bereikt moet worden voor de droogstand.
| Thema | ||||||
|---|---|---|---|---|---|---|
| Droogstand | ||||||
| Doel | Huidige waarde | Streef waarde | ||||
| Verbeteren uiergezondheid | zie onder | zie onder | ||||
| Periode | Start | Gereed | ||||
| 1-1-2020 | 1-1-2021 | |||||
| Maatregelen | ||||||
| Ligboxen vaker schoonmaken | ||||||
| Vloeren beter zuiver houden | ||||||
| Uitloop voor de droge koeien maken | ||||||
| Vaarzen met een celgetal minder dan 150.000 geen antibioticum toepassen | ||||||
| Koeien met celgetal minder dan 150.000 geen antibioticum toepassen. | ||||||
| Strenge selectie van dieren met aanleg voor hoog getal. | ||||||
| Koeien met hoog celgetal in aparte droogstandsgroep | ||||||
| Voeding optimaliseren i.v.m. conditie, kalfziekte en zuchtvorming | ||||||
| Conditie scoren in de droogstand | ||||||
| Droogzetevaluatie uitvoeren | ||||||
| Geen stieren gebruiken die hoog celgetal vererven (fokwaarde ruim boven 100). | ||||||
| Kengetallen | Controledata en gemeten waarde | |||||
| Indicatoren voor de controle op de voortgang | Huidige waarde | Streef waarde | Datum | Waarde | Datum | Waarde |
| % koeien met verhoogd celgetal na afkalven | 30% | max. 5% | – | – | – | – |
| % koeien laag in – hoog uit (besmet) | 14% | <5% | – | – | – | – |
| % koeien laag in – laag uit (gezond) | 65% | >75% | – | – | – | – |
| % koeien hoog in – laag uit (genezen) | <10% | >10% | – | – | – | – |
| % koeien hoog in – hoog uit (besmet) | 16% | <5% | – | – | – | – |
| % genezen koeien van het totaal aantal dat hoog in gaat | 50% | >85% | – | – | – | – |
| % koeien waarbij AB-houdende droogzetters zijn gebruikt | 50% | <25% | – | – | – | – |
| Conditiescore bij droogzetten | 5 | 3.5 | – | – | – | – |
| Conditiescore bij afkalven | 5 | 3.75 | – | – | – | – |
| Conditieverval in eerste 30 dagen na afkalven | 1 punt | 0,5 punt | ||||
| % koeien dat zwaar afkalft | 10% | <5% | ||||
| Koeien die dirct na afkalven snel vreten | 50% | 100% | ||||
| % koeien met kalfziekte | 10% | <2% | – | – | – | – |
| % koeien met zuchtvorming | 5% | <2% | – | – | – | – |
| % koeien met verhoogd celgetal binnen 100 dagen na afkalven | 23% | <5% | – | – | – | – |
Bronnen:
- Pattamanont, P., M. Marcondes and A. de Vries, 2020. Advantages of Various Dry-off Methods for Dairy Cows. AN 360 Dep. Ann. Sc. UF/IFAS extension. US.
- Dairy 2014, Milk Quality Milking Procedures, and Mastitis in the United States, 2014. USDA-APHIS-VS-CEAH-NAHMS. Fort Collins, CO. #704.0916.
- https://ahdb.org.uk/knowledge-library/protocol-for-drying-off-dairy-cows
- Cattaneo, L., 2023. The challenge of drying-off high-yielding dairy cows
- https://edepot.wur.nl/443495 (lactatie op maat)
- Knegsel, van A. T. M., & B. Kemp, 2012. Shortening the dry period for dairy cows: effects on energy balance, health and fertility
- Kok, A. et al., 2019. Review: Dry period length in dairy cows and consequences for metabolism and welfare and customised management strategies
- Steeneveld, W. et al., 2013. Effect of different dry period lengths on milk production and somatic cell count in subsequent lactations in commercial Dutch dairy herds
